Before After Teeth Whitening

 

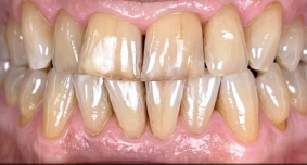
Patient was unhappy with her old crowns, asymmetric gum margins. very pleasing smile rejuvenation.

beforeteethafterteeth1
 

Old, asymmetric crowns with discoloured margins replaced with full ceramic crowns. Gum line corrected.

before-1after-1
 

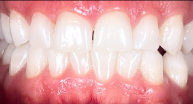
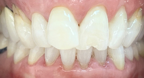
Young patient with heavily restored anterior teeth, all composite fillings discoloured and misshaped. Spectacular improvement with all ceramic crowns.

before-2after-2
 

Heavily restored anterior teeth, all composite fillings discoloured and misshaped. Spectacular improvement with all ceramic crowns.

before-3after-3
 

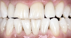
Upper left central incisor severely discoloured as a result of trauma many years ago. Full porcelain crown correct ed the shape and the colour.

before-5after-5

Book your Appointment

Ready to Start your journey?